Le but du traitement de parodontologie vise à stopper l’évolution de la maladie parodontale. Une fois le bilan initial réalisé, une première séance d’accompagnement à l’hygiène bucco-dentaire est réalisé. Puis le traitement non chirurgical commence, il peut être réalisé en une ou deux séances et est généralement accompagné d’anesthésie locale. Un détartrage soigneux est réalisé puis un surfaçage (sous gingival) des poches est effectué. Cette séance se termine par les retouches des couronnes si nécessaire puis par un aéropolissage (nettoyage avec air pulsé et poudre).
Le traitement non chirurgical est généralement le traitement de première intention.
Le traitement parodontal est long à mettre en œuvre. Il nécessite un traitement étiologique (élimination des causes), symptomatique (élimination des signes de la maladie) et une maintenance parodontale qui durera toute la vie.
L’objectif du bilan parodontal est de vous garantir une prise en charge globale de vos problèmes de gencives.
Ce bilan consiste en :
Examen précis des facteurs de risque (âge, diabète, tabac, stress …)
Un examen minutieux des dents et des gencives (des soins ou des couronnes mal ajustées peuvent être à refaire)
Une évaluation du « déchaussement » de chaque dent, permet de comparer les résultats obtenus aux prochaines séances.
Des radiographies très précises de toutes les dents et de leurs supports osseux permet de visualiser si la perte osseuse est localisée sur quelques dents ou si elle est globale.
Un diagnostic parodontal au moyen d’une sonde parodontale, permet de visualiser la profondeur des poches et la présence ou non de saignement.
Élaboration d’un plan de traitement précis et individuel.
éducation à l’éducation de l’hygiène bucco-dentaire
Le but de ces séances et d’optimiser la réponse au traitement parodontal. En effet, le rôle du chirurgien-dentiste n’est que ponctuel, le patient doit dans le cadre de sa maladie parodontale assurer le suivi quotidien de la maladie.
Ce suivi passe par une hygiène bucco-dentaire irréprochable, un contrôle de plaque fréquent, et l’utilisation de différents moyens d’aide au brossage (fil dentaire, brossettes, bains de bouches, probiotiques …)
Au cours de ces séances un révélateur de plaque est souvent utilisé pour mettre en évidence la plaque dentaire restantes et de donner au patient de nouveaux moyens pour l’aider à éliminer ces réservoirs à bactérie. Cette séance est dédiée à l’échange, nous convions nos patients à apporter leur propre matériel pour refaire le point avec eux sur ce qui peut être amélioré.
La désinfection des tissus parodontaux repose conjointement sur :
L’utilisation à domicile de matériel spécifique permettant de nettoyer efficacement les dents (contrôle de plaque) dans les zones les plus difficiles d’accès. Le brossage des dents doit être associé à l’utilisation de brossettes inter dentaires.
Un traitement anti-infectieux sur prescription du praticien et dans certains cas, l’utilisation d’antibiotiques doit être envisagée.
Le surfaçage est effectué au cabinet en une ou deux séances afin de désinfecter et de nettoyer les zones situées sous vos gencives. Le but est l’élimination du tartre sous gingival ainsi que la désinfection de la poche parodontale et un surfaçage (ou curetage) des racines. C’est la première technique envisagée pour traiter les parodontites. Cette méthode, peu agressive, est généralement très efficace.
Objectifs du surfaçage
Le surfaçage est complémentaire du détartrage. Procédé non chirurgical, il permet d’assainir la surface des racines dentaires et la gencive en profondeur.
L’objectif est de désinfecter les tissus et de permettre la fermeture des poches parodontales, par une ré-adhésion de la gencive sur la surface de la dent. Mais il s’agit d’une cicatrisation et on ne récupère pas l’ensemble des tissus perdus. La gencive se rétracte ce qui aboutit le plus souvent à une sensation de dent longue appelée également déchaussement.
Quelquefois, lorsque le surfaçage de toutes les dents ne suffit pas à stabiliser la parodontite, d’autres thérapeutiques, notamment chirurgicales (lambeaux d’assainissement), peuvent alors être envisagées.
La maladie parodontale, comme toute affection chronique, doit être surveillée pour éviter toute aggravation ou récidive.
Le succès à long terme d’un traitement parodontal repose donc sur un suivi minutieux, appelé thérapeutique de soutien, qui commence dès la fin du traitement actif. Elle sera proposée au patient comme un prolongement indispensable. Sa durée est illimitée.
L’objectif de la maintenance est de maintenir l’état parodontal obtenu à l’issue du traitement actif ou, plus rarement, de ralentir l’évolution d’une parodontite réfractaire à notre traitement.
La séance de maintenance est une procédure de routine standardisée. Les données obtenues sont comparées avec les résultats précédents. Elle débute par un examen clinique qui comprend une nouvelle fois un bilan parodontal complet (mesure des poches, contrôle de plaque et recherche des signes inflammatoires). Bien souvent, il sera utile de remotiver notre patient. Grâce aux rappels, sans relâche, de l’importance d’un contrôle de plaque irréprochable pour le maintien de sa santé parodontale, il devient possible de préserver à long terme une stabilité.
Nous profiterons aussi de chaque contrôle pour remettre à zéro le compteur bactérien supra et juxta-gingival, par le biais d’un nettoyage prophylactique, en se permettant de descendre prudemment en sous-gingival au niveau des sites plus instables.
Dans les mois qui suivent le traitement parodontal, les contrôles seront fréquents pour s’assurer de la stabilité du résultat obtenu après traitement.
On préconisera un contrôle biannuel chez les patients considérés comme stabilisés et ayant une hygiène correcte.
Par contre, pour les patients à haut risque (hygiène approximative, tabac >10cg/jour, antécédent de parodontite agressive, traitement orthodontique…), la fréquence des séances de maintenance doit rester soutenue pour pouvoir intercepter une éventuelle récidive (3 fois par an minimum).
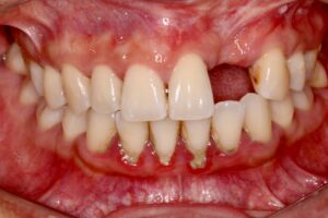
Situation initiale
Situation initiale
Utilisation du révélateur de plaque avant la réalisation du surfaçage
Utilisation du révélateur de plaque avant la réalisation du surfaçage
Situation à 3 mois post-surfaçage
Situation à 3 mois post-surfaçage
Bilan parodontal initial et de réévaluation : de 200 à 250 euros le bilan
Surfaçage (par sextant = secteur de 1 à 6 dents) : de 220 à 250 euros
La séance de maintenance parodontale : de 120 à 150 euros
Les séances d’éducation à l’hygiène bucco-dentaire sont inclues dans les tarifs.
Exemple 1 : une bouche complète est composée de 6 sextants à traiter soit 1320 à 1500 euros.
Exemple 2 : Un traitement parodontal complet inclus un bilan parodontal initial, puis 6 surfaçages puis un bilan parodontal de réévaluation et enfin plusieurs séances de maintenances soit un coût allant de 1840 à 2150 euros.
La Sécurité sociale n’intervenant presque pas dans la prise en charge des soins de parodontie, il est important de souscrire une mutuelle santé qui rembourse une partie de vos dépenses sous forme de forfait annuel.
Le traitement parodontal est long à mettre en œuvre. Il nécessite un traitement étiologique (élimination des causes), symptomatique (élimination des signes de la maladie) et une maintenance parodontale qui durera toute la vie.
L’objectif du bilan parodontal est de vous garantir une prise en charge globale de vos problèmes de gencives.
Ce bilan consiste en :
Examen précis des facteurs de risque (âge, diabète, tabac, stress …)
Un examen minutieux des dents et des gencives (des soins ou des couronnes mal ajustées peuvent être à refaire)
Une évaluation du « déchaussement » de chaque dent, permet de comparer les résultats obtenus aux prochaines séances.
Des radiographies très précises de toutes les dents et de leurs supports osseux permet de visualiser si la perte osseuse est localisée sur quelques dents ou si elle est globale.
Un diagnostic parodontal au moyen d’une sonde parodontale, permet de visualiser la profondeur des poches et la présence ou non de saignement.
Élaboration d’un plan de traitement précis et individuel.
éducation à l’éducation de l’hygiène bucco-dentaire
Le but de ces séances et d’optimiser la réponse au traitement parodontal. En effet, le rôle du chirurgien-dentiste n’est que ponctuel, le patient doit dans le cadre de sa maladie parodontale assurer le suivi quotidien de la maladie.
Ce suivi passe par une hygiène bucco-dentaire irréprochable, un contrôle de plaque fréquent, et l’utilisation de différents moyens d’aide au brossage (fil dentaire, brossettes, bains de bouches, probiotiques …)
Au cours de ces séances un révélateur de plaque est souvent utilisé pour mettre en évidence la plaque dentaire restantes et de donner au patient de nouveaux moyens pour l’aider à éliminer ces réservoirs à bactérie. Cette séance est dédiée à l’échange, nous convions nos patients à apporter leur propre matériel pour refaire le point avec eux sur ce qui peut être amélioré.
La désinfection des tissus parodontaux repose conjointement sur :
L’utilisation à domicile de matériel spécifique permettant de nettoyer efficacement les dents (contrôle de plaque) dans les zones les plus difficiles d’accès. Le brossage des dents doit être associé à l’utilisation de brossettes inter dentaires.
Un traitement anti-infectieux sur prescription du praticien et dans certains cas, l’utilisation d’antibiotiques doit être envisagée.
Le surfaçage est effectué au cabinet en une ou deux séances afin de désinfecter et de nettoyer les zones situées sous vos gencives. Le but est l’élimination du tartre sous gingival ainsi que la désinfection de la poche parodontale et un surfaçage (ou curetage) des racines. C’est la première technique envisagée pour traiter les parodontites. Cette méthode, peu agressive, est généralement très efficace.
Objectifs du surfaçage
Le surfaçage est complémentaire du détartrage. Procédé non chirurgical, il permet d’assainir la surface des racines dentaires et la gencive en profondeur.
L’objectif est de désinfecter les tissus et de permettre la fermeture des poches parodontales, par une ré-adhésion de la gencive sur la surface de la dent. Mais il s’agit d’une cicatrisation et on ne récupère pas l’ensemble des tissus perdus. La gencive se rétracte ce qui aboutit le plus souvent à une sensation de dent longue appelée également déchaussement.
Quelquefois, lorsque le surfaçage de toutes les dents ne suffit pas à stabiliser la parodontite, d’autres thérapeutiques, notamment chirurgicales (lambeaux d’assainissement), peuvent alors être envisagées.
La maladie parodontale, comme toute affection chronique, doit être surveillée pour éviter toute aggravation ou récidive.
Le succès à long terme d’un traitement parodontal repose donc sur un suivi minutieux, appelé thérapeutique de soutien, qui commence dès la fin du traitement actif. Elle sera proposée au patient comme un prolongement indispensable. Sa durée est illimitée.
L’objectif de la maintenance est de maintenir l’état parodontal obtenu à l’issue du traitement actif ou, plus rarement, de ralentir l’évolution d’une parodontite réfractaire à notre traitement.
La séance de maintenance est une procédure de routine standardisée. Les données obtenues sont comparées avec les résultats précédents. Elle débute par un examen clinique qui comprend une nouvelle fois un bilan parodontal complet (mesure des poches, contrôle de plaque et recherche des signes inflammatoires). Bien souvent, il sera utile de remotiver notre patient. Grâce aux rappels, sans relâche, de l’importance d’un contrôle de plaque irréprochable pour le maintien de sa santé parodontale, il devient possible de préserver à long terme une stabilité.
Nous profiterons aussi de chaque contrôle pour remettre à zéro le compteur bactérien supra et juxta-gingival, par le biais d’un nettoyage prophylactique, en se permettant de descendre prudemment en sous-gingival au niveau des sites plus instables.
Dans les mois qui suivent le traitement parodontal, les contrôles seront fréquents pour s’assurer de la stabilité du résultat obtenu après traitement.
On préconisera un contrôle biannuel chez les patients considérés comme stabilisés et ayant une hygiène correcte.
Par contre, pour les patients à haut risque (hygiène approximative, tabac >10cg/jour, antécédent de parodontite agressive, traitement orthodontique…), la fréquence des séances de maintenance doit rester soutenue pour pouvoir intercepter une éventuelle récidive (3 fois par an minimum).
Bilan parodontal initial et de réévaluation : de 200 à 250 euros le bilan
Surfaçage (par sextant = secteur de 1 à 6 dents) : de 220 à 250 euros
La séance de maintenance parodontale : de 120 à 150 euros
Les séances d’éducation à l’hygiène bucco-dentaire sont inclues dans les tarifs.
Exemple 1 : une bouche complète est composée de 6 sextants à traiter soit 1320 à 1500 euros.
Exemple 2 : Un traitement parodontal complet inclus un bilan parodontal initial, puis 6 surfaçages puis un bilan parodontal de réévaluation et enfin plusieurs séances de maintenances soit un coût allant de 1840 à 2150 euros.
La Sécurité sociale n’intervenant presque pas dans la prise en charge des soins de parodontie, il est important de souscrire une mutuelle santé qui rembourse une partie de vos dépenses sous forme de forfait annuel.